Hello, Locksley here again.
I’m sorry if Ludo confused you last week. He gets a bit stressed when things don’t happen as usual. And when Mummy has to change her routine a little because she needs to rest, he worries even more.
It’s taken me a long time to understand what he’s been on about ever since I met him. That was at the rescue. He was terrified there, but glad he was getting food and drink, and lots of hay and cuddles. Then we came to live with Mummy. That was nearly three years ago, but it’s only recently he really started to relax and give Mummy lots of love. I’ve been loving her for ages, of course.
But he has memories of his first Mummy disappearing suddenly, after a few days of not being well. So he’s nervous that Mummy will suddenly leave us. Mummy discussed this with him last week, and I think he’s reassured that she’s not going to get something like his first Mummy did. Her problems won’t go away, but she’ll be around for a long time yet. That’s what she told me, anyway. And Auntie Linda has the back-up instructions anyway.
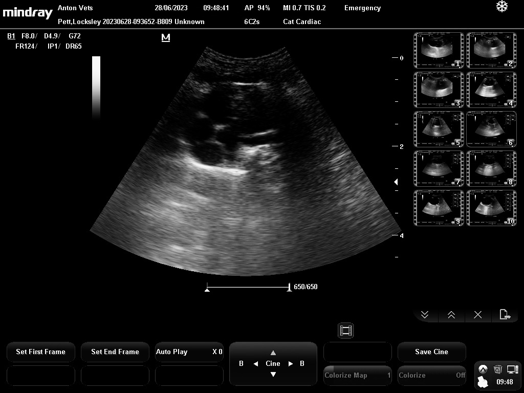
But back to us guinea pigs. We’re all fine, really I’m officially fine, because if you remember, I went to see Dr Rebekah to have my insides scanned. It was particularly to check my heart. Dr R showed Mummy the pictures and also a moving picture which showed my heart pumping away regular as clockwork. I haven’t got that, but here’s the picture of my heart:

The heart is in the top section, and the black is my blood, and the white marks in there are the heart valves, working away. And below, the greyish stuff is my body and chest, and it shows there’s no congestion or breathing problems.
So I’m fine. And I apologise to Mummy for taking on Biggles’ running around habits, where he had to stop for a sit down and rest because of his heart not working properly. I thought it was fun copying him. I won’t do it any more.
We’ve had a little bit of rain, so our grass has freshened up. Mummy’s says she’ll move the runs again this week. I can see some nice grass I’m really interested in trying out, back were we were a month ago. It’s in front of the beans which are growing okay, and the celeriac, which Mummy put out last week. She doesn’t think the kale will make it this year. But we got it from the shop through last winter. It just costs a lot more than growing it ourselves.
Till next time
love
Locksley xxxx
A great, uplifting message Locksley! Thanks for sharing the good new!
LikeLiked by 1 person
So glad to hear you all are well!
LikeLiked by 1 person